zurück Home Ösophagus, Speiseröhre
allgemeines Die Speiseröhre verbindet den Schlund mit dem Magen.
Engen Der Ösophagus hat 3 physiologische Engstellen:
  • Ösophagusmund
  • Kreuzung mit dem linken Hauptbronchus
  • Zwerchfelldurchtritt
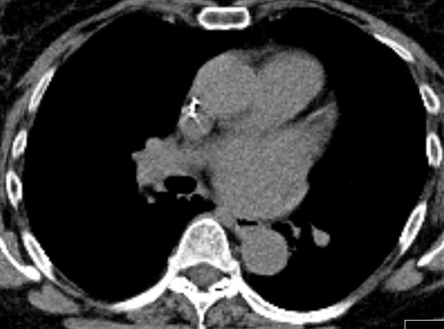
58-jährige Frau mit CUP. Beim Schlucken Beschwerden im mittleren Thoraxbereich. Oberhalb der Trachealbifurkation ist die Speiseröhre gering gefüllt.
Der linke Hauptbronchus komprimiert den Ösophagus.
Unterhalb des linken Hauptbronchus ist die Speiseröhre leer..
Reflux, GERT gastroösophageale Refluxkrankheit (GERT) Refluxösophagitis
Barrett- Ösophagus Zylinderepithel - Metaplasie des distalen Ösophagus durch chronischen Magensäurekontakt. Voraussetzung zur Bildung von Adenokarzinomen des distalen Ösophagus.
Mallory-Weiss-Syndrom longitudinale Einrisse der Mucosa und Submucosa der Speiseröhre Folge von starkem Erbrechen. Symptome: heftiger Schmerz oberhalb des Nabels
Singultus Schluckauf, reflektorische Einatembewegung mit plötzlichen Stimmlippenverschluss. akuter Singultus - persistierenden Singultus: > 48h
Achalasie anhaltende Kontraktion des unteren Ösophagussphinkter
Zenker - Divertikel pharyngoesophageales Divertikel Herniatio des Hypopharynx durch einen Defect im Killian - Dreieck. Musculus constrictor pharyngealis inferior und Musculus cricopharyngeus.
Diagnostik:
Barium- Breischluck: Barium-Rest in einer Ausstülpung des Ösophagus in Höhe C5 bis C6.
Endoskopie
Symptome:
  • zunehmende Schluckbeschwerden
  • Gewichtsverlust
  • Regurgitation
  • Mundgeruch
Boerhaave-Syndrom spontane Ruptur aller Wandschichten des Ösophagus ICD10: K22.3 bevorzugt im distalen Drittel des Ösophagus links dorsolateral direkt über dem Zwerchfell (supradiaphragmal).
Eosinophile Ösophagitis Chronische Entzündung. Leitsymptome: Dysphagie, Bolusobstruktion
Ösophagusvarizen Leber klein infolge Zirrhose, reichlich Ascites, dicke Ösophagusvarizen
Ösophagus - Karzinom Zum Bild: Oberhalb des Karzinoms ist die Speiseröhre stark erweitert. Das Karzinom verschießt den Ösophagus subtotal.

Teil von

Darm Abdomen
Quellen

Impressum                                     Zuletzt geändert am 07.06.2025 20:56