| zurück Home | Low Grade Gliome  | |||||||||||||||||||||||||||||||||||||||||||||||||
Allgemeines  | 
 Gradingstufe 1 und 2 | |||||||||||||||||||||||||||||||||||||||||||||||||
Astrozytome  | 
 pilozytotische Astrozytome | |||||||||||||||||||||||||||||||||||||||||||||||||
Oligodendrogliome  | 
 ||||||||||||||||||||||||||||||||||||||||||||||||||
| Epidemiologie | ||||||||||||||||||||||||||||||||||||||||||||||||||
| Prognose | 
 Nach (1)  | |||||||||||||||||||||||||||||||||||||||||||||||||
| Klinik | ||||||||||||||||||||||||||||||||||||||||||||||||||
| Staging | Das TNM-System wird nicht angewendet . | |||||||||||||||||||||||||||||||||||||||||||||||||
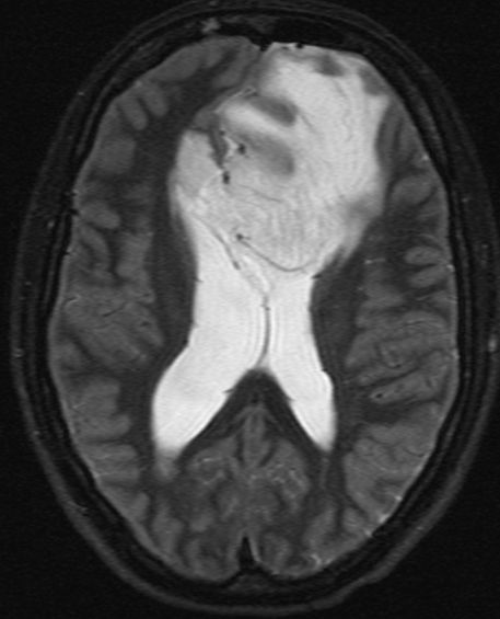
| Astrozytom II | 33jährige Frau mit einem links-frontalen Gliom Grad 2.![]()  
 	![]()  | |||||||||||||||||||||||||||||||||||||||||||||||||
| OP: norwegische Studie | In der Klinik, in der primär radikal operiert wurde, überlebten signifikant mehr Patienten. | |||||||||||||||||||||||||||||||||||||||||||||||||
| Strahlentherapie | 
  | |||||||||||||||||||||||||||||||||||||||||||||||||
| Die Studien zeigen keinen Überlebensvorteil einer postoperativen Bestrahlung. Daher kann die Bestrahlung auch ausschließlich bei Progression erfolgen. | ||||||||||||||||||||||||||||||||||||||||||||||||||
| Eine Dosissteigerung über 50Gy ergibt keine Verbesserung des PFS oder OS. | ||||||||||||||||||||||||||||||||||||||||||||||||||
| IDH-IH | INDIGO-Studie | |||||||||||||||||||||||||||||||||||||||||||||||||
| Ergebnisse | EORTC 22845 | RTOG 9802 | ||||||||||||||||||||||||||||||||||||||||||||||||
| Quellen | 
1.) The Cancer Genome Atlas Research Network Comprehensive, Integrative Genomic Analysis of Diffuse Lower-Grade Gliomas. N Engl J Med 2015;372:2481-98.DOI: 10.1056/NEJMoa1402121 2.) Eckel-Passow JE, et al.: Glioma Groups Based on 1p/19q, IDH, and TERT Promoter Mutations in Tumors. N Engl J Med 2015;372:2499-508. DOI: 10.1056/NEJMoa1407279  | |||||||||||||||||||||||||||||||||||||||||||||||||
Teil von  | 
 Gliome | ZNS-Tumore | Onkologie | |||||||||||||||||||||||||||||||||||||||||||||||
Impressum Zuletzt geändert am 30.11.2024 21:26