zurück Home

Histologie der Nierentumoren

Allgemeines

 

Anteil der Subtypen

Anteil (1)

Subtyp  

74,8%

klarzelliges Nierenzellkarzinom Conventional or clear cell RCC (CCRCC) 

12,2%

papilläres Nierenzellkarzinom Papillary RCC (PRCC)

7,9%

chromophobes Nierenzellkarzinom Chromophobe RCC (CRCC)

1,8%

renales Onkozytom Renal oncocytoma (RO)

0,4%

Sammelrohr - Karzinom Collecting duct RCC (CDRCC)

2,9%

sarkomatoides Nierenzellkarzinom Sarcomatoid RCC (SRCC)

klarzelliges Karzinom

IDC-H 8312/3 mit hohem Glykogen- und Fettgehalt, 91% von-Hippel Lindau - Gen inaktiviert.

Papilläres Karzinom

15-20% der Nierenmalignome
30% MET-Mutation(2)

Merkmal

Typ 1

Typ 2

Morphologie papilläre und tubuläre Strukturen mehr heterogen, papilläre Strukturen
Zellen kleine Zellen mit basophilem Plasma, kleine ovale Kerne große Tellen mit eosinophilem Plasma, große runde Kerne mit prominentem Nukleolus
Familäre Nierentumoren hereditäres papilläres Nierenzellkarzinom, MET-Mutation hereditäre Leiomyomatose und Nierenzellkarzinom, FH-Mutation, sehr aggressiv

sarkomatoides Karzinom

IDC-H 8033/3 bösartige Variante des Klarzellkarzinoms

Wilms

Nephroblastom, Wilms-Tumor. WT1: Wilms-Tumor-Gen, Schlüsselrolle bei der Entwicklung der Niere. Fehlfunktion im Kindesalter führt zum Nephroblastom.

Duct-Bellini

IDC-H 8319/3 Sammelrohrkarzinom, Ductuli Bellini

Reninom

IDC-H 8361/1 Juxtaglomerulärer Tumor (gutartig)

Onkozytom

IDC-H 829/0, gutartig

biphasisches alveolo-squamöses Nierenzellkarzinom

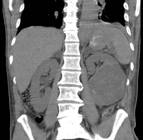
61-jähriger Mann bei dem notfallmäßig eine Tumornephrektomie links wegen Sepsis und nekrotisch zerfallendem, infiziert rupturiertem NZK links cT3b pM0 M0 G2 durchgeführt wurde. Makroskopie: 15 x 9 x 10 cm großes Nephrektomiepräparat. Im Zentrum überwiegend im Hilusbereich entwickelt, ein stark nekrotisch zerfallender, 8 cm großer Tumor.
Mikroskopie: Der Tumor zeigt papilläre, teilweise tubuläre Strukturen.
Die Einzelzellen enthalten vergrößerte hyperchromatische Zellkerne mit prominenten Nukleolen.
Das Zytoplasma ist teilweise klar, teilweise schwach eosinrot angefärbt.
Teilweise erkennt man Tumoranteile mit girlandenförmigen Proliferaten.
Immunhistochemie: z.T positiv mit CD 10. Herdförmig kräftig positive Reaktion mit Zytokeratin 7 und Vimentin. CD 117, Melan A und HMB 45 negativ.
5 Monate später Rezidiv. Th.:Pazopanib

Quelle

1.) Pradhan D, Kakkar N, Bal A, Singh SK, and Joshi K:
Sub-typing of renal cell tumours; contribution of ancillary techniques.
Diagnostic Pathology 4(2009):1746
Chandigarh, Indien

2.) Choueiri TK, Plimack E, Arkenau HT, et al.:
Biomarker-based phase II trial of savolitinib in patients with advanced papillary renal cell cancer.
J Clin Oncol 2017;35:2993-3001

Impressum                               Zuletzt geändert am 06.06.2022 16:04