| zurück Home | Rektum - Karzinom: Leber-Metastasen | |||
| allgemeines | ||||
| CT | CT-Bild eines stenosierenden 
	Rektumkarzinoms mit Infiltration der Hüllfaszie und Infiltration der 
	Prostatakapsel.  | |||
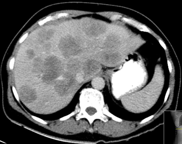
| CT | 61-jährige Frau mit Metastasenleber. Als Primärtumor wurde 
	ein Rektumkarzinom bei 8cm mit Lymphknotenmetastasen pararektal gefunden. Im 
	CT ohne KM sind keine Metastasen sichtbar.  | In der arteriellen Phase Unregelmäßigkeiten.  | ||
| In der portalvenösen Phase Metastasen gut 
	abgrenzbar.  | In der Spätphase verschwimmen die Konturen.  | |||
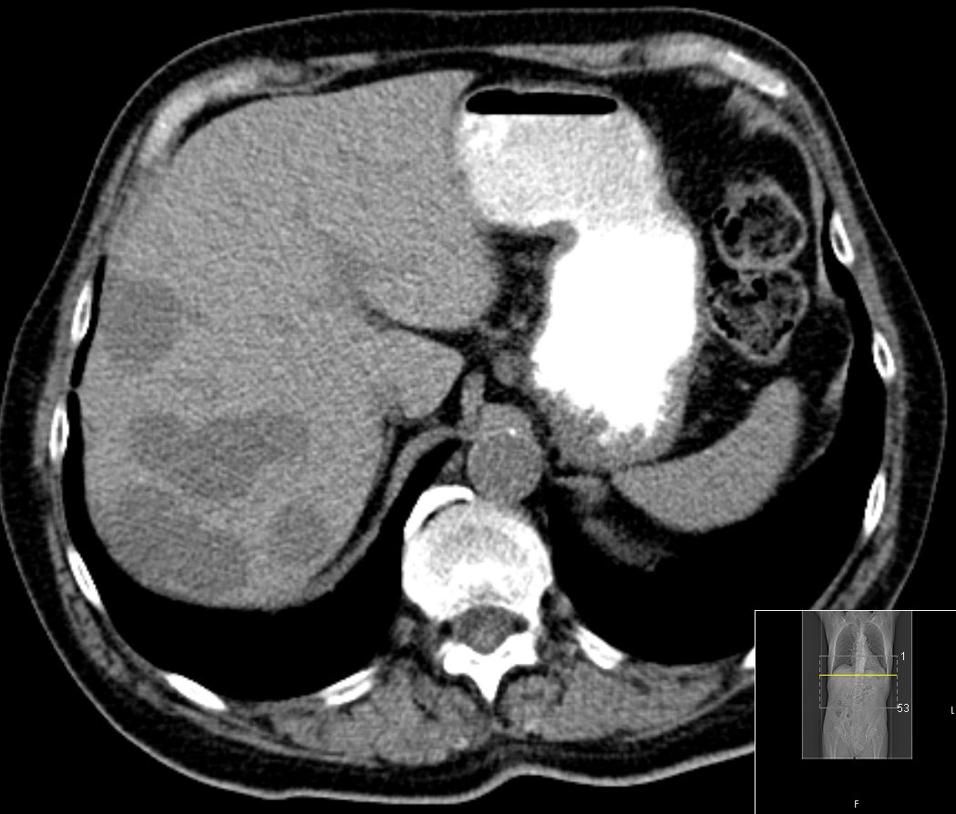
| CT | 57-jähriger Mann mit einem pulmonal und 
	hepatisch metastasierten Rektumkarzinom. Progress unter Chemotherapie.  | 48-jähriger Mann mit Lebermetastasen nach 
	Rektumkarzinom.  | ||
| CT | 75-jähriger Mann, der vor einem Jahr ein Rektum-Karzinom hatte: ypT3a ypN1b(2/18) Mo Li Vo G2. 5x5Gy. 
	Anteriore Rektumresektion, 4x 5-FU. Jetzt Lebermetastasen.  |  |  |  | 
| Teil von | Rektum - Karzinom: Metastasen | Rektum - Karzinom: Klinik | Rektum - Karzinom | Gastro - Intestinale Tumore | 
Impressum Zuletzt geändert am 09.07.2021 10:34