bildgebende Diagnostik des HCC | |||
| Allgemeines | Fallbeispiele Sonographie, CT, MRT | ||
| CT | 60-jähriger Mann mit hepatozellulärem Karzinom in Segment 6.
Histologie: mäßig differenziertes hepatozelluläres Karzinom, G2, Stadium pT1![]() |
![]() | |
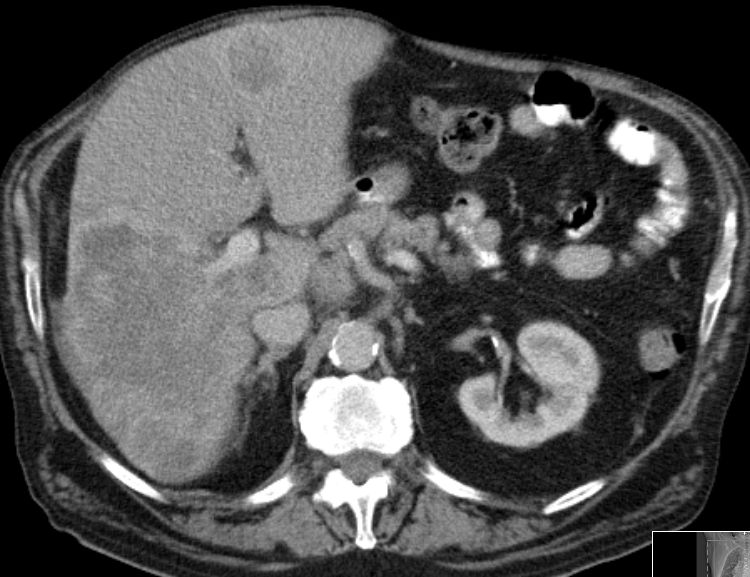
| CT | 61-jähriger trockener Alkoholiker mit bekannter Leberzirrhose und Ascites.
Mehrere Raumforderungen in der Leber. AFP 84. Keine Tumorzellen im Ascites.![]() | ||
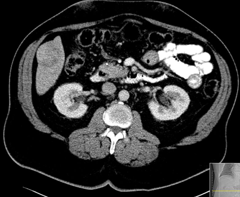
| CT | 79-jähriger Mann mit Raumforderung im rechten Leberlappen. AFP > 3000.![]() | ||
| AFP negativ | 76-jähriger Mann mit metastasiertem Lebertumor. AFP 2,62.
Pulmonale Rundherde, pathologisch vergrößerte LKs.
Histologie: Teilweise trabekuläre, angedeutet auch vesikuläre atypische Epithelproliferate.
Die Einzelzellen enthalten vergrößerte, etwas hyperchromatische Zellkerne.
Die mitotische Aktivität ist etwas erhöht.
Immunhistologie: eindeutig positiv mit Panzytokeratin und EMA.
Schwächer positive Reaktion mit Hep 1 und CEA Poly.
Schwache Reaktion mit PSA.
Kein Nachweis: Zytokeratin 7, TTF 1, CEA, Zytokeratin 20. CDX 2, S 100, Synaptophysin, Chromogranin.![]() ![]() ![]() ![]() | ||
| intrahepatische Filiae | 68-jähriger Mann mit bekannter Leberzirrhose nach Alkoholabusus.
Im CT mehrere hypervaskuläre Herde gesehen.
Im MR beste Darstellung auf den Spätaufnahmen nach leberspezifischem Kontrastmittel in der hepatobiliären Ausscheidung.
Unterhalb der Zwerchfellkuppel links subkapsulär ventral gelegener Herd im 2. Segment 34 mm.
In der koronaren Schichtung im 8.Lebersegment ein 8,5 mm kleiner signalabgesenkter Leberherd.![]() |
Herd im Segment 4a unmittelbar am Gallenblasenbett 48mm.
![]() | |
Im 5. Segment subkapsulär rechts lateral ein 11mm großer, signalabgesenkter Leberherd.![]() |
Am Unterrand des rechten Leberlappens vom 6. zum 7. Lebersegment ein 17mm signalabgesenkter, subkapsulär gelegener Herd.![]() | ||
![]() | |||
Teil von |
hepatozelluläres Karzinom | Gastro - Intestinale Tumore | |
Quellen |
|||
Impressum Zuletzt geändert am 23.03.2024 23:21