zurück Home Schulter
allgemeines Anatomie: Humerus, Clavicula, Scapula, Gelenke, Muskeln
Diagnostik Klinische Diagnostik, Umgebungsdiagnostik Score: Oxford Shoulder- Score DD
Erkrankungen
PHS Periarthritis humeroscapularis, Periarthropathia humeroscapularis Sammelbezeichnung für schmerzhafte degenerative Veränderungen mit Bewegungseinschränkung der Schulter.
Adhaesive Kapsulitis primäre Schultersteife MRT: Verdickung der Kapsel mehr als 4 mm Verlauf: Dauer 1-2 Jahre, spontane Heilung
drei Phasen 1.Phase: entzündliche Phase
Dauer 6 Monate
Operationen kontraindiziert!
 Schmerztherapie
lokale oder systemische Kortikoidanwendungen
2. Phase:
leichter Rückgang der Beschwerden
bei anhaltender Schultersteife.
 Krankengymnastik indiziert.
Impingement schmerzhafte Einklemmung von Weichteilen (Sehnen, Kapselanteile) innerhalb eines Gelenkspaltes. Schulter: subakromiales Impingement, auch Hüftgelenk und oberes Sprunggelenk
Supraspinatus-Test nach Jobe Prüfung der Supraspinatus - Beteiligung beim Impingement-Syndrom Der Arm wird aktiv in eine 90°-Abduktion und eine 30° Anteversion gebracht. Ellenbogen gestreckt. Jetzt Pronationsstellung (Daumen zeigt zum Boden). Dann muss der Patient den Arm gegen einen Widerstand anheben.
Schulter - Arthrose. Omarthrose
Schultergelenks - Erstluxation Ätiologie
  • Passives Außenrotationsabduktionstrauma der Schulter
  • Sturz auf die Schulter
  • Aktives Außenrotationsabduktionstrauma der Schulter
  • Laxe ligamentäre Führung der Schulter (hereditär, erworben)
  • Krampfanfall (hintere Luxation!)
  • Elektrounfall
Richtung
  • Luxation nach vorne unten
  • Sonderform: Luxatio erecta
  • Luxation nach hinten
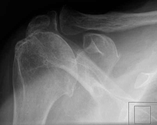
82-jährige Frau mit subduralem Haematom nach Sturz. Alte komplette Rotatorenmanschettenruptur mit Atrophie des Musculus supraspinatus und infraspinatus. Luxationsstellung des rechten Humeruskopfes nach kranial mit weitestgehender Resorption sowohl des akromialseitigen Anteilers des Akromioklavikulargelenkes als auch das Akromion selbst. Der Subakromialraum ist nicht nur aufgebraucht, sondern wird auch nach kranial durch die Schliffsklerosen verlagert. Omarthrosis deformans ohne Anhalt für okkulte Frakturen, inhomogene Verdickung der Gelenkkapsel.Klinisch chronische Schmerzen, Elevation bei 30° schmerzhaft behindert.
AC-Gelenk 67jährigen, berenteten Maurer mit Schmerzen und Bewegungseinschränkung in der rechten Schulter. Hochgradige AC-Gelenksarthrose mit Kapselschwellung und Ergussbildung.
AC-Arthrose Das CT einer 51-jährigen Frau zeigt eine deutliche Arthrose des AC-Gelenks.
AC-Gelenksprengung Einteilung nach Rockwood
Lipom 60-jähriger Landwirt mit Schulterschmerzen seit 5 Jahren. Omarthrose. Im MRT zusätzlich ein Lipom im M. infraspinatus subfascial. 
Quellen 1.) Stoller DW:
Stoller's Orthopaedics and Sports Medicine: The Shoulder.
Lippincott Williams & Wilkins 2015. ISBN: 978-1-4698-9298-6

2.) Agneskirchner JD, et al.:
Arthroskopische Schulterchirurgie.
Deutscher Ärzteverlag 2013

Teil von

Arm Bewegungsapparat

Impressum                           Zuletzt geändert am 09.08.2015 9:59