| zurück Home | Astrozytom Grad II | ||
Fallbeispiel |
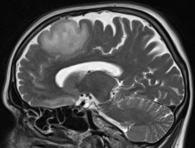
61-jährige Frau mit einem diffusen Astrozytom Grad II | ||
Primärbefund |
MRT T2 Tse |
MRT T2 Tirm![]() |
MRT T2 Tse![]() |
post OP |
MRT T2 Blade![]() |
||
Verlauf |
Nach Teilresektion erfolgte die Bestrahlung mit 50,4Gy, ED 1,8Gy. | ||
Rezidiv |
1 Monat nach Abschluss der Bestrahlung zeigt das MRT einen Tumorprogress an 2 Stellen. Die 2. Operation ergab ein Glioblastom mit geringer GMT-Methylierung.![]() |
||
Impressum Zuletzt geändert am 23.06.2013 21:26