zurück Home

Prostata-Ca: Zielvolumen der postoperativen Radiotherapie

Allgemeines

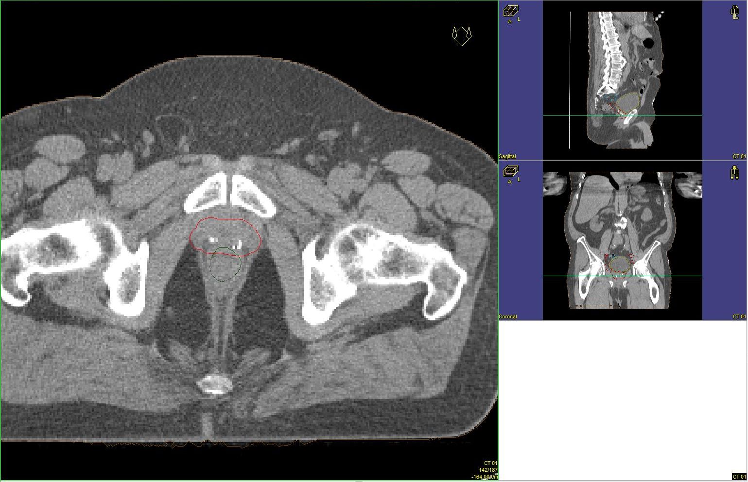
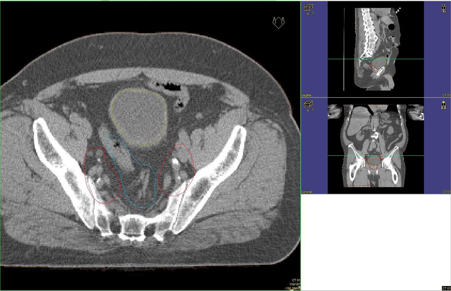
Beispiel: postoperative RT

sagittale Darstellung

blauer Punkt ZV
blauer Punkt ZV
blauer Punkt ZV
blauer Punkt ZV
blauer Punkt ZV
blauer Punkt ZV
blauer Punkt ZV
blauer Punkt ZV
blauer Punkt ZV
blauer Punkt ZV
blauer Punkt ZV
blauer Punkt ZV
blauer Punkt ZV
blauer Punkt ZV
blauer Punkt ZV
blauer Punkt ZV
blauer Punkt ZV
blauer Punkt ZV
blauer Punkt ZV
blauer Punkt ZV
blauer Punkt ZV

Quellen

1.)


Impressum                           Zuletzt geändert am 29.11.2015 0:07