| Harnblasen - Karzinom: Klinik | |||
| Allgemeines |
|||
| Klinik | Blut im Urin sollte immer auf das Vorliegen eines Blasentumors abgeklärt werden. | Ferner Harnverhalt, Nierenaufstau und rezidivierende Cystitiden. | Zur Frühdiagnose dient der Nachweis von NMP22 (nukleäres Matrix-Protein) im Urin. |
| Diagnostik | Zur Sicherung erfolgt eine Zystoskopie mit Schleimhautbiopsie. | Ein CT zeigt pelvine Lymphknoten, Nieren, Nierenbecken und Harnleiter. | |
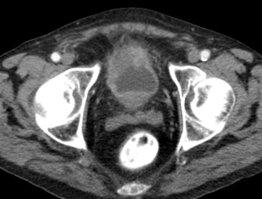
| Blase | 80-jähriger Mann mit ausgedehntem Blasentumor. Der Tumor
infiltriert auch das anliegende Fettgewebe und den Musculus rectus rechts .![]() |
![]() | |
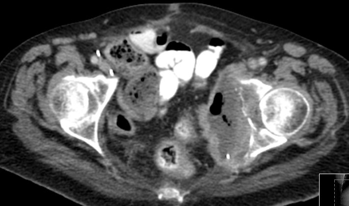
| Becken-Rezidiv | 54-jährige Frau nach radikaler Zystektomie und Anlage eines Ileumconduits wegen eines Plattenepithelkarzinoms der Harnblase vor 8 Monaten. Jetzt Verdacht eines Abszesses an der linken Beckenwand. Anlage eines Transversostomas und Drainage, später transvaginale Drainageeinlage. Jetzt Tumorfreilegung, Nekroseausräumung, Drainage. Histologie: Plattenepithelkarzinom. Destruktion des Beckenknochens links mit Einbruch ins Acetabulums. | ||
![]() |
![]() |
![]() |
|
Quellen |
1.) , et al.: | ||
Teil von |
Harnblasen - Karzinom | urologische Tumoren | Onkologie |
Impressum Zuletzt geändert am 11.07.2021 12:51