| zurück Home | follikuläres Lymphom: Diagnostik |
|||
| allgemeines | ||||
Inguinale LK |
58-jähriger Mann mit einer schmerzlosen Schwellung der linken Leiste.![]() |
![]() | ||
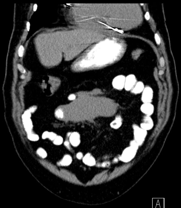
Mesenteriale LK |
68-jährige Frau mit Völlegefühl und
Heißhungerattacken seit 8 Monaten. LSK mit Lymphknotenbiopsie: Atypische
Follikelformationen mit CD20, CD10 und BCL2-Expression.![]() | |||
Mesenterialer Bulk |
77-jähriger Mann mit einem abdominalen Tumor und Stenosesymptomatik. Im Dünndarmresektat mit Mesenterialwurzel ein follikuläres Lymphom Grad II-IIIa, FLIPI-Score 2.![]() |
![]() |
![]() | |
Mamma und axilläre LK |
71-jährige Frau mit diffuser Schwellung und
Rötung der rechten Brust.![]() |
großer axillärer Lymphknoten erkennbar.![]() |
||
CT: Lymphknoten rechts axillär.![]() | ||||
Milz |
59-jähriger Mann mit einem indolenten B-Zell-Lymphom im Stadium IVb.
Ausgeprägte Splenomegalie und Lymphknotenvergrößerung hoch paraaortal. Leuko 11,3, DD 5% gereizte Lymphozyten.![]() |
![]() | ||
Diagnostik |
Nach histologischer Diagnosesicherung (Referenzpathologie) Staging: CT Thorax, Abdomen, MRT, Knochenmarkspunktion | |||
Molekularbiologie |
>90% CD20-Oberflächen-AG positiv | |||
Genetik |
typische Chromosomenveränderung: t(14;18)(q32;q21). Folge: Daueraktivierung von Bcl2 | |||
Quellen |
1.) , et al.: | |||
|
|
||||
Impressum Zuletzt geändert am 20.09.2012 22:32