Tonsillen - Karzinom: Diagnostik  | ||||
Allgemeines  | 
  
  | |||
Lymphknoten  | 
  51-jähriger Mann mit Tonsillenkarzinom pT2 pN2b Mo. Tonsillentumor asymptomatisch. 
  Das große Lymphknotenpaket am Unterkieferwinkel war aufgefallen.  | 
  |||
  | ||||
  | ||||
  | ||||
Lymphknoten  | 
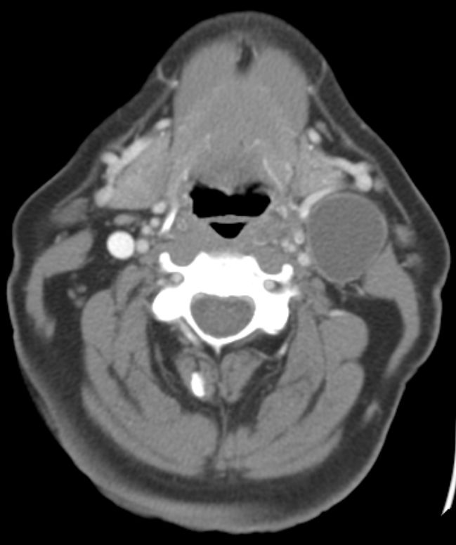
  66-jähriger Mann mit einem zystischen 34mm großen Knoten links am Hals. 
  Die Panendoskopie ergab ein 11mm großes invasives Plattenepithelkarzinom der linken Tonsille. pT1 pN2a(1/15) Mo G3 p16+.  | |||
Quellen  | 
  
1.)  | |||
| 
	 | ||||
Impressum Zuletzt geändert am 14.08.2014 18:46