| zurück Home | Karzino - Sarkom des Uterus  | |||
| Epidemiologie | seltener Tumor des Uterus | |||
Diagnostik  | 
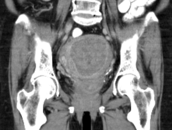
 69-jährige Frau, die vor 4 Jahren ein Mammakarzinom hatte und adjuvant mit Anastrozol behandelt wird. 
 	Wegen PM-Blutung wurde eine Abrasio durchgeführt, die einen malignen Müllerschen Mischtumor des Endometriums ergab.![]()  | 
 Histologie: massive Zell- und Kernpleomorphie. Mehrfach bizarre Riesenkerne. 
  	Neben storiformen und faszikulären Arealen auch Bereiche mit vollständigem Differenzierungsverlust. 
  	An der Oberfläche zum Teil ortstypisches Zylinderepithel. 
  	Immer wieder jedoch auch pseudomehrreihiges Epithel mit deutlichen Kern- und Zellpleomorphien. 
  	Ausgedehnte Tumornekrosen.
	Biphasischer gering differenzierten Tumor. Maligner Müller'scher Mischtumor, G3.![]()  | 
 Immunhistochemie: CD 10 kräftige Reaktion in der plemorphen Stromakomponente. 
	CK 7 färbt epitheliale Anteile. Östrogenrezeptoren werden in epithelialen Tumoranteilen sowie verbliebendem endometrialen Stroma exprimiert. 
	Keine Reaktion in der mesenchymalen Tumorkomponente.
	Vimentin färbt das zytogene Stroma sowie die mesenchymale Tumorkomponente. 
	Postoperatives Stadium pT1a (beginnende Wandinfiltration) pNo Mo Lo Vo Ro![]()  | |
Therapie  | 
 Standard - Therapie ist die Hysterektomie mit Adnexen. Die Rolle von Strahlentherapie und Lymphonodektomie ist umstritten. | |||
Chemotherapie  | 
 Eine platinhaltige postoperative Chemotherapie verbessert DSS (disease specific survival) und DFS (disease free survival) | |||
Strahlentherapie  | 
 Eine postoperative Strahlentherapie des Beckens vermindert die Zahl der vaginalen Rezidive, verbessert DSS und DFS nicht signifikant. | |||
Ergebnisse  | 
 NCI, NIH, Bethesda: 121 Fälle retrospektiv analysiert (1) | |||
| GOG-232B (2) | Paclitaxel und Carboplatin | |||
| GOG-232C (3) | Iniparib, Paclitaxel, Carboplatin als initiale Behandlung des fortgeschrittenen oder rezidivierten uterinen Carcinosarcoms. | |||
| GOG-230B (5) | Thalidomid und immunohistochemische Expression von c-kit und PDGFR-b bei rezidiviertem uterinen Carcinosarcom. | |||
| GOG-230C (4) | Imatinib (Gleevec®) und immunohistochemische Expression von c-kit und PDGFR-b bei fortgeschrittenem oder rezidiviertem uterinen Carcinosarcom. | |||
| STATICE (NCCH1615) | Trastuzumab Deruxtecan, EGFR+, Advanced or Recurrent | |||
Teil von  | 
 seltene gynäkologische Malignome | Gynäkologische Onkologie | Onkologie | Gynäkologie | 
Quellen  | 
 
1.) Gonzalez Bosquet J, Terstriep SA, Cliby WA, Brown-Jones M, Kaur JS, Podratz 
KC, Keeney GL: The impact of multi-modal therapy on survival for uterine carcinosarcomas. Gynecol Oncol. 2009 [Epub ahead of print] NCI, NIH, Bethesda, USA 2.) Powell MA, et al.: A phase II evaluation of paclitaxel and carboplatin in the treatment of carcinosarcoma of the uterus: a Gynecologic Oncology Group (GOG) study. J Clin Oncol 28(2010):2727-31 3.) Aghajanian C, et al.: Iniparib plus paclitaxel and carboplatin as initial treatment of advanced or recurrent uterine carcinosarcoma: a Gynecologic Oncology Group study. Gynecol Oncol 126(2012):424-7 4.) Huh W, et al.: Efficacy and safety of imatinib mesylate (Gleevec) and immunohistochemical expression of c-kit and PDGFR-b in a Gynecologic Oncology Group phase II trial in women with recurrent or persistent carcinosarcomas of the uterus. Gynecol Oncol 117(2010):248-54 5.) McMeekin DS, et al.: A phase II trial of thalidomide in patients with refractory uterine carcinosarcoma and correlation with biomarkers of angiogenesis: A Gynecologic Oncology Group study. Gynecol Oncol 127(2012):356-61  | |||
| 
	 | ||||
Impressum Zuletzt geändert am 08.01.2024 22:12