| zurück  Home | 
 seröse Ovarial - Karzinome  |  
 
 Allgemeines  | 
 Maligne seröse Ovarialtumoren habe ihre Quelle z.T. in der Tube.  | 
 
HGSC  | 
 High-Grade Serous Cancer | 
 ca. 75% der epithelialen Ovarialkarzinome. | 
 >90% p53-Mutation  | 
 
| 5a-OS: 10-30% | 
 Verläufer: STICs (Serous Tubal Intraepithelial Carcinoma)  | 
 STICs 5a vor einem HGSC nachweisbar. | 
 
LGSC  | 
 Low-Grade Serous Cancer | 
 Rezidiv-OP bringt beim LGSC einen Benefit(3) 
 
 |   | 
 Nach Rezidiv-OP makroskopischer Tumorrest | 
 Bemerkungen | 
  
 
 | Ja | Nein |  
 | Patientinnen | 9 | 32 |  
 | OS | 167,5 Monate | 88,9 Monate | n.s. |  
 | PFS | 11 Monate | 60 Monate | p = 0,008 |  
    | 
 
 
  LGSC sind häufig Chemoresistent (4):
    - AGO Study Group metadatabase	
 
    - 5114 Patientinnen insgesamt
 
    - 	145 Patientinnen mit LGSC (2,8%)
 
    - 	39 Patientinnen mit Tumorrest > 1 cm
 
    - 	Chemoresponse LGSC: 23,1 %
 
    - Chemoresponse HGSC:  90,1 % 
 
    | 
 LGSC sprechen auf MEK-IH an (5).
 
   - Inhibition des MAP-Kinase-Signalweges
 
   - MEK-
     Inhibitor: Selumetimb
 
   -   80 % Ansprechen bei Rezidiv (5) 
 
   | 
 
 
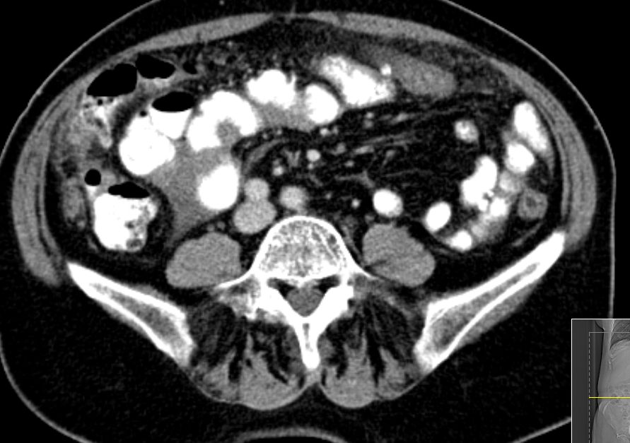
 72-jährige Frau mit Peritonealkarziose nach HE mit 
	Adnexen vor 16 Jahren.
    | 
 Histologie: Low-grade-serös-papilläres Karzinom
    | 
 
Intraoperatv ausgedehnte Karzinose der Darmserosa und des 
	Mesenteriums.
    | 
 
  
  | 
 
 
 Mutationen  | 
 LGSC:
   -      KRAS-Mutation     
 
   - BRAF-Mutation     
 
   - NRAS-Mutation     
 
   - PI3KCA-Mutation: aktivierend 
 
   - 40%
     PTEN — Mutationen: inhibierend
 
   -  IGFBP — Überexpression 3-8%
 
   -  Pax 2 — Überexpression
 
   - Östrogenrezeptor-Expression     
 
   - Progesteronrezeptor-Expression
 
   | 
 HGSC
   -  P53 — Mutationen: 96% 
 
   -  Ki 67 — Überexpression
 
   -  P 16 — Überexpression     
 
   - BRCA1/2 — Mutationen
 
   - FOXM1 (Forkhead Box M1, wird von P53 wildtyp supprimiert, Überexpression von Plk1) 
 
   - Plk1 (Polo Like Kinase 1) reguliert Zentrosom-Reifung und Duplikation, u.a. 
 
   | 
 
Formen (2)  | 
 
 | Tumor | Ort | Ursprung | Ziel-Zelle | Genetik | Benigner Vorläufer | Typische Verteilung und Verhalten |  
  |  serös, gut differenziert, LGS  | 
  Ovar | 
Müller-Inklusionszyste | Müller | 
K-ras, BRAF  | 
Zystadenom Adenofibrom | 
Bilateral, intrazystisch od. Oberfläche, peritoneale Ausbreitung | 
 
  | serös, schlecht differenziert | Fimbrien | Endosalpinx | 
  Sekretorische Zelle  | p53 | p53-Signatur | 
  Unilateral, intraepithelial, minimale Invasion, Serosabefall | 
 
  | serös, schlecht differenziert | Ovar | 
  Müller-Inklusionszyste Endometriose | 
  Sekretorische Müller Zelle  | 
  p53 C-Myc | 
			   Endometriom Zystadenom 
			   | Dominante Masse, bilateral, Oberfläche, peritoneale Ausbreitung |  
  | serös, schlecht differenziert | Ovar | ovarielles Oberflächenepithel | 
  ovarielles Oberflächenepithel oder generisches Müller-Epithel | p53 | ?	p53-Signatur | 
  Bilat. Beteiligung der  Oberfläche, peritoneale Ausbreitung |  
  |  
 
HGSC  | 
 High-Grade Serous Cancer | 
 ca. 75% der epithelialen Ovarialkarzinome. | 
 >90% p53-Mutation  | 
 
| 5a-OS: 10-30% | 
 Verläufer: STICs (Serous Tubal Intraepithelial Carcinoma)  | 
 STICs 5a vor einem HGSC nachweisbar. | 
 
 
Quellen  | 
  
  1.) Groen RS, et al.: 
Updates and emerging therapies for rare epithelial ovarian cancers. One size no longer fits it all.  
Gynecol Oncol 2015;136:373-383 
    
2.) Jarboe EA, et al.: 
Tubal and ovarian pathways to pelvic epithelial cancer: a pathological perspective. 
Histopathology 2008;53:127-138
   
3.) Crane EK, et al.: 
The role of secondary cytoreduction in low-grade serous ovarian cancer or peritoneal cancer. 
Gynecol Oncol 2015;136:25-29
   
4.) Grabowski JP, et al.: 
Operability and chemotherapy responsiveness in advanced low-grade serous ovarian cancer. An analysis of the AGO Study Group metadatabase. 
Gynecol Oncol 2016;140:457-462
  
5.) Farley J, et al.: 
Selumetimb in women wich recurrent low-grade serous carcinoma of the ovary or peritoneum - an open-label, single-arm, phase 2 study.  
Lancet Oncol 2013;14:134-40
  
  | 
 
   |