zurück
Home |
Borderline - Tumoren des Ovars (BOT) |
Allgemeines |
maligne Kennzeichen ohne ovarielle Stromainvasion |
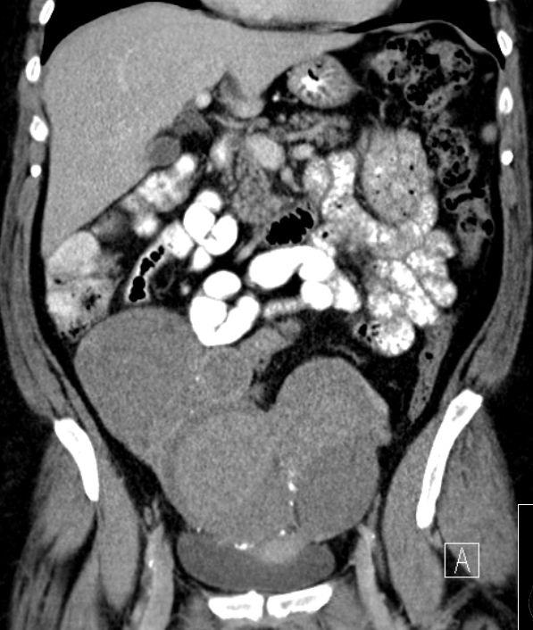
53-jährige Frau mit einem muzinösen Borderlinetumor vom intestinalen Typ.
 |
Epidemiologie |
3 Neuerkrankungen / 100.000 Frauenjahre, 9-16% der nicht benignen Ovarialkarzinome |
Kriterien |
- Papillenbildung
- mehrreihiges Epithel
- erhöhte Mitosezahl
- Atypie gering bis mäßig
|
Prognose |
Besser als bei Ovarialkarzinomen gleichen Stadiums.
FIGO I: 95 %
FIGO II-IV: 70 bis 85 %
Rezidivrate 11 %
maligne Transformation 2-4 % |
Klinik |
Meistens Stadium I. |
| AGO ROBOT |
Borderline - Tumoren |
Sammelstudie mit 1236 Fällen |
Klinik |
48-jährige Frau mit serösen und
kleinherdig muzinösen Borderlinetumoren beider Ovarien mit nicht invasiven
peritonealen Implantaten. Hysterektomie mit Adnexen, Omentektomie, AE,
partielle Peritonektomie. pT3a. Keine Zytostase.
 |
Typen (1) |
Karzinomgenese
| BOT |
Vorstufe |
Progression zu invasive Tumor |
Zytogenetik |
| Serös |
Zystadenom |
Progression zu low-grade serösem Karzinom |
Mutation in KRAS oder BRAF |
| Mucinous |
Zystadenoma (Vorläufer des intestinalen Subtyps des mucinösem BOT) |
Progression zu intraepithelialem Karzinom dann zum
muzinösen Karzinom |
Mutation in KRAS (Codons 12 und 13) |
| Endometriose, typischerweise endometrioide Zyste (Endometriom);
Vorläufer des Müllerschen Subtyps des mucinösen BOT |
| Endometrioid |
Endometriose, typischerweise endometrioide Zyste (Endometriom)
oder endometrioide Adenofibrome |
Progression zu intraepithelialem Karzinom dann zu low-grade
endometrioidem Karzinom |
Mutation im β-Cateningen; PTEN - Mutation oder LOH; Microsatellit-Instabilität |
| Klarzell |
Endometriose, typischerweise endometrioide Zyste (Endometriom)
oder Klarzell-Adenofibrom |
Progression zu intraepithelialem Karzinom dann zu Klarzzellkarzinoa |
Mutation im β-Cateningen; PTEN-Mutations oder LOH; Microsatellit-Instabilität |
| Brenner (Transitionalzell) |
Gutartiger Brenner |
Progression zu bösartigem Brennertumor |
? |
|
Makroskopie
| Serös |
Typisch |
Bilateral —30%, peritoneale Implantationen 35% |
| Micropapillär |
Bilateral 75%) exophytisches Wachstum 54%, peritoneale Implantationen 50%,
-8 cm. |
| Mucinous |
Intestinal |
Unilaterale, große, multilokuläre, z.T. solide, 20-22 cm. |
| Endozervikal-ähnlich, seromuzinös |
Kleiner, viel seltener, bilateral 20%-30%, unilokuläre oder multilokuläre solide
Läsion, gelegentlich peritoneale Implantationen. Endocervikal-ähnliche muzinöse
BOTs ähneln serösen BOTs. |
| Endometrioid |
8-10 cm, zystisch-solid, bilateral 4%,
gelegentlich peritoneale Implantationen. Hemorrhagische, grüne oder braune intrazystische
Flüssigkeit. |
| Klarzell |
Ähneln makroskopisch endometrioiden Tumoren, 15 cm,
Innere Oberfläche weich lobulär. Schnittfläche mit Bienenwaben - ähnlicher
Struktur. Keine peritonealen Implantate. |
| Brenner (Transitionalzell) |
Große solid-zystische Tumoren mit polypösen Wucherungen in das
Zystenlumen. Immer unilateral. 18 cm. |
|
Teil von |
Ovarial - Karzinom |
Gynäkologische Onkologie |
Tumoren endokriner Organe |
Onkologie |
Quellen |
1.) Fischerowa D, et al.:
Diagnosis, Treatment, and Follow-Up of Borderline Ovarian Tumors.
Oncolohist 2012;17:1515-1533
|
 |