| zurück Home | Metastasen des Zervix - Karzinoms | ![]()  | ||
| allgemeines | ||||
| Ovarial - Metastasen | Bei Adenokarzinomen wurden in 5,31% primäre Ovarialmetastasen gefunden, bei Plattenepithelkarzinomen in 0,79% (1). | |||
| paraaortale Lymphknoten - Metastasen | 
	![]() Großes Lymphknotenkonglomerat links paraaortal. Vergrößerte Lymphknoten an der linken Beckenwand.  | 
  
	![]() 2 große Lymphknoten links zwischen Aorta und Musculus psoas.  | ||
| paraaortale Lymphknoten - Metastasen | 54-jährige Frau, die vor 4 Jahren wegen eines 
	Zervix - Karzinoms FIGO IIIb mit Radiochemotherapie behandelt wurde.  Damals praevesikaler Harnstau beiderseits. Jetzt neu Harnstau links. RF links paraaortal. ![]()  | |||
	![]()  | 
  
	![]()  | |||
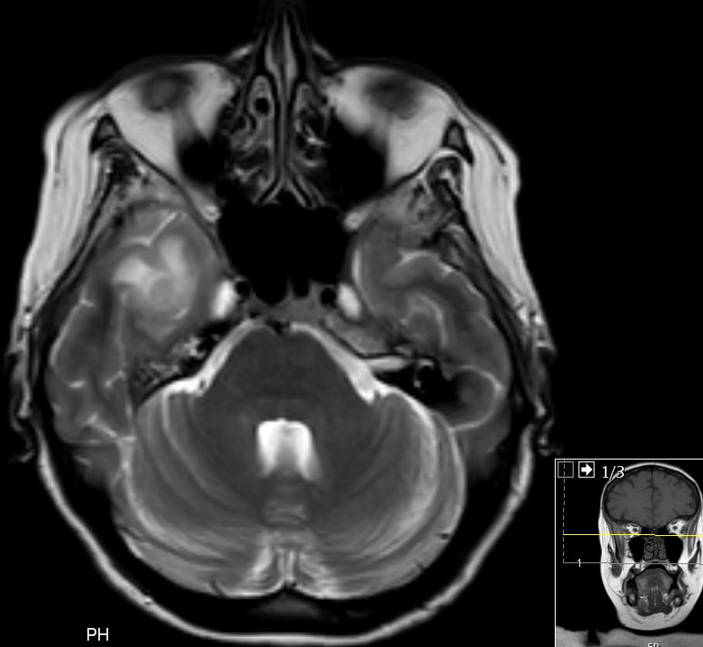
| Schädelbasis | 62-jährige Frau, bei der vor 2 Monaten ein Plattenepithelkarzinom der Zervix FIGO IIIB mit Radiochemotherapie behandelt wurde. Die Uterusgröße hatte von 13 auf 6 cm abgenommen. Jetzt Aufnahme mit der Diagnose Apoplex. | |||
An der Basalfläche des rechten Temporallappens KM - aufnehmende RF.![]()  | 
  ![]()  | |||
![]()  | 
  ![]()  | |||
Unklare Doppelkontur der Meningen des Halsmarks.![]()  | 
  Ödem des rechten Temporallappens.![]()  | |||
| Quellen | 
  1.) Shimada M, et al. Ovarian metastasis in Carcinoma of the uterine cervix. Gynecol Oncol 101(2006): 234-237  | |||
Teil von  | 
  Zervix - Karzinom | Gynäkologische Onkologie | Onkologie | Uterus | 
Impressum Zuletzt geändert am 21.02.2022 20:28