Knochenmetastasen beim NSCLC  | 
  ||||
| allgemeines | 
  | |||
| BWS-Arrosion | BWK 12 - Arrosion bei   Plattenepithelkarzinom des rechten Lungenunterlappens.![]()  | |||
| Rippen-Arrosion | Pleurametastasen mit Rippen -  Arrosion bei   Plattenepithelkarzinom des rechten Lungenunterlappens.![]()  | 
  |||
| LWS-Metastase | 86-jährige Frau mit primär ossär metastasiertem Adenokarzinom des linken Oberlappens. CK7 und TTF1 positiv, CDX2, 
		  Vimentin, ZK20, CA125 und P63 negativ.![]()  | 
  |||
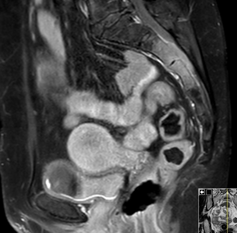
| Kreuzbein | 51jährige Bürokauffrau in leicht reduziertem AZ. KI 80.  Sie hat starke Schmerzen in der Kreuzbeinregion, so dass sie nicht auf dem Rücken liegen kann. Ferner besteht eine Blasenentleerungsstörung. Das MRT zeigt eine tumoröse Infiltration des 2. und 3. Kreuzbeinsegmentes. Der Tumor ist in den Spinalkanal eingebrochen und hat die Nerven der Cauda aequina eingehüllt. ![]()  | 
|||
| Hüftpfanne | 74-jähriger Mann mit einem Adenokarzinom des rechten Lungenoberlappens pT1b pN2 Mo 1 Jahr nach Lobektomie Bestrahlung und 
	Chemotherapie. Die dorsalen Hüftpfannenteile links und Teile des Sitzbeins sind völlig zerstört.![]()  | 
   
Nach einem Sturz hat sich zusätzlich ein Haematom gebildet und der linke Hüftkopf hat sich nach dorsal verlagert.![]()  | 
||
| Subtrochantäre Fraktur | 61-jähriger Patient mit schlecht differenziertem Adenokarzinom der Lunge. Jetzt pathologische Fraktur per-/subtrochantär links. Ausgedehnte Tumorosteolyse. ![]()  | 
     Therapie: Schaftendoprothese.![]()  | ||
| Ulna | 54-jähriger Mann Adenokarzinom des li OL T4N3M1b. Im Knochenszintigramm fiel eine Mehranreicherung im mittleren Humerusschaft links auf.![]()  | |||
| Ulna | 56-jähriger Mann mit Plattenepithelkarzinom des rechten Hauptbronchus T4 N2 M1. Schmerzhafte Schwellung an der Innenseite des rechten proximalen Unterarms. Deutliche Sklerosierung der Ulna.
	![]()  | 
    Das Ultraschallbild zeigt einen zentral erweichtenWeichteitumor 
	mit randlicher Gefäßerweiterung. Weichteiltumor.![]()  | Hüftpfanne | |
| Schädel | 86-jährige Frau mit primär ossär metastasiertem Adenokarzinom des linken Oberlappens.
     Monate nach Diagnose klagte die Patientin über eine schmerzlose Schwellung des Kopfes rechts. Das Nativ-CT zeigt eine Metastase des Schädelknochens.![]()  | 
        Nach KM-Gabe deutliche Kontraststeigerung.![]()  | 
            Im Knochenfenster deutlich größere Zerstörung sichtbar.![]()  | 
	|
| Quellen | ||||
Impressum Zuletzt geändert am 15.11.2015 7:36