CT beim NSCLC  | |||
| rechter Oberlappen | 
	50-jähriger Mann mit einem Adenokarzinom im rechten Oberlappen![]()  | 
  57-jährige Frau mit einem primär cerebral 
	metastasierten Adenokarzinom im rechten Oberlappen![]()  | |
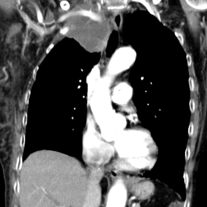
| Pancoast linker Oberlappen | 75-jähriger Mann mit einem adenosquamösen Tumor des linken Lungenoberlappens. Pancoast - Tumor | ||
![]()  | 
    
	![]()  | ||
	![]()  | 
    ![]()  | ||
| Pancoast rechter Oberlappen | 66-jährige kachektische Frau mit Nikotin- und 
	Alkoholabusus, die zur Abklärung eines juckenden Exanthems der Arme und des 
	Halses zur Aufnahme kam. Keine Schmerzen, keine Armschwellung rechts. 
	Belastungsdyspnoe bei Emphysembronchitis.![]()  | 
 ![]()  | 
 |
![]()  | 
 ![]()  | ||
| Pancoast linker Oberlappen | 63-jähriger Mann mit einem Plattenepithelkarzinom 
	des linken Lungenoberlappens. Klinisch faustgroßes Vorwölbung über dem 
	linken Schlüsselbein.![]()  |   
  Die Infiltrate haben die A. subclavia 
	eingeschlossen. Klinisch schlaffe Lähmung des linken Arm mit lividität. 
	Zusätzlich Verengung des Lidspaltes links.![]()  | |
![]()  |   
  ![]()  | 
||
| Bronchus-Kompression | Karzinom des rechten Lungenoberlappens mit 
	Atelektase des Oberlappens und Impression des rechten Hauptbronchus.![]()  | 
||
| Mediastinale Infiltration | 
	![]()  | 
||
| linker Oberlappen | Plattenepithelkarzinom des linken Oberlappens. 
	Der Tumor überschreitet nicht die Lappengrenze.![]()  | 
||
| linker Oberlappen | Adenokarzinom des linken Oberlappens. Der Tumor 
	liegt dem Aortenbogen an.![]()  | ||
| Embolie | 55-jähriger Mann mit SCC rechts zentral mit 
	Verschluss der Mittellappens und Stenose des Zwischenbronchus T4 N2b Mo. Vom 
	Tumor eingeschlossen eine Pulmonalarterie mit einer kreisrunden Aussparung 
	durch einen Embolus.![]()  | ||
| Lymphknoten Karina | Die Karina wird durch eine große LK - Metastase 
	aufgespreizt.![]()  | 
||
| Wirbelinfiltration | Pancoast - Tumor rechts mit Infiltration der 
	Wirbelsäule und Erreichen der Speiseröhre. Klinisch Parese des rechten Arms. 
	Schlucken nicht beeinträchtigt. ![]()  | 
||
| Thoraxwanddestruktion | Plattenepithelkarzinom des rechten 
	Lungenoberlappens mit Destruktion der Thoraxwand und mediastinalen 
	Lymphknotenmetastasen. ![]()  | 
||
| Supraclavikuläre Lymphknotenmetastase | Lymphknotenmetastase unter der medialen Clavikula 
	links. ![]()  | 
||
| Mittellappenatelektase rechts | 57-jähriger Mann mit einem Plattenepithelkarzinom 
	des re Oberlappens und Atelektase der Mittellappens. ![]()  | 
||
| Abszess | 65-jähriger Mann mit einem metastasierten 
	Adenokarzinom des rechten Hauptbronchus. Jetzt Abszessbildung bei minimaler 
	Symptomatik (CRP 15, kein Fieber). ![]()  | 
||
| Quellen | |||
Impressum Zuletzt geändert am 22.03.2014 20:56