| Neuroendokrine Bronchialkarzinome | ||||||||||||||||||||
| allgemeines | ||||||||||||||||||||
| Histologie | trabekuläre Bauweise, randständige Palisadenstellung, Rosetten, organoides Nesting. >10 Mitosen / 10 HPF. | |||||||||||||||||||
| Prognose | typische Karzinoide haben eine 5a-Überlebensrate von 87-100%, atypische 61-88%. | |||||||||||||||||||
| SCLC | small cell lung cancer, kleinzelliges Bronchialkarzinom. Karzinoide der Lunge | |||||||||||||||||||
| Neuroendokrin | Karzinoide der Lunge: kleinzelliges (SCLC) oder großzelliges neuroendokrines Karzinom (LCNEC) | |||||||||||||||||||
| Immunhistochemie | 
  | |||||||||||||||||||
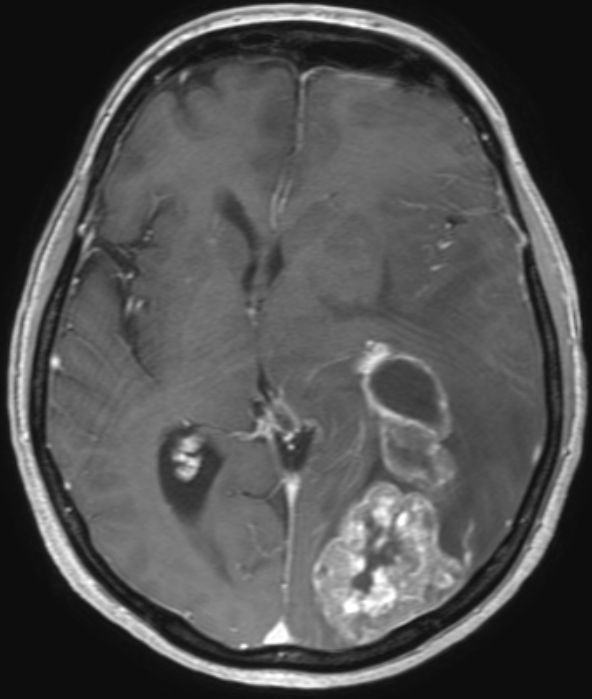
| Hirnmetastase | 48-jährige Frau, die vor 4 Jahren ein DLBCL Stadium IVa mit Bulk rechts inguinal, Lymphknoten mediastinal axillär links, Milzvergrößerung und pulmonale Infiltration hatte. 8mal R-CHOP, RT der rechts inguinalen Lymphknoten mit 26 Gy. Vor 5 Monaten Tumor linker Hilus und Hirnmetastase links occipito-parietal: Histologie: großzelliger neuroendokriner Tumor. Entfernung der Hirnmetastase, RT Neurocranium. 6 x Carboplatin/Etoposid: PR des Lungentumors, vitaler Resttumor des Gehirns | |||||||||||||||||||
CT: Tumor lateral der Aorta descendens![]()  | 
 MRT T1 FFE: Ausgedehnte Matastase li occipital.![]()  | |||||||||||||||||||
  | 
 MRT MIP T1 FFE![]()  | |||||||||||||||||||
MRT MIP T1 FFE![]()  | 
CT: vitales Tumorgewebe 2 Monate nach RT.![]()  | |||||||||||||||||||
Quellen  | 
1.) Travis WD, et al.: International Association for the Study of Lung Cancer/American Thoracic Society. European Respiratory Society international multidisciplinary classification of lung adenocarcinoma. J Thorac Oncol 6(2011): 244–285.  | |||||||||||||||||||
Impressum Zuletzt geändert am 09.08.2015 9:59