| zurück Home | Colon - Karzinom: Diagnostik | |||
| allgemeines | Die Diagnostik kolorektaler Karzinome umfasst Anamnese, klinische Untersuchung, Stuhluntersuchungen, Blutuntersuchungen und bildgebende Diagnostik. | |||
| Guajak-Test | Testverfahren zum Nachweis von okkultem Blut im Stuhl. | |||
| iFOBT | Ersetzt ab dem 01.04.2017 den Guajak-Test (gFOBT, Hämoccult) zum Screening auf colorektale Karzinome. | Immunologischer Test zur Erkennung und Quantifizierung von humanem Hämoglobin (F-Hb) in Stuhlproben. | Auswertung mit dem QuikRead go Instrument. | |
| Keine Diät notwendig, da nur humanes Hämoglobin erkannt wird. | iFOBT erkennt mehr Karzinome als der Guajak-Test. | |||
| Polyp | Hyperplastische Polypen können sich zu sporadischen Colonkarzinomen weiterentwickeln. Progastrin ist eine Hormonvorstufe und an der Karzinogenese von Colonkarzinomen beteiligt. Es wurde die Progastrin - Expression bei 74 hyperplastischen Polypen untersucht (1). 41% der Patienten entwickelten im weiteren Verlauf adenomatöse Polypen. 62% entwickelten innerhalb von 5 Jahren Neoplasmen. | |||
| CT-Lymphknoten-Staging | Ein praeoperatives CT kann den Lymphknotenstatus nicht zuverlässig bestimmen. | |||
| Röntgen | Das Röntgenbild zeigt einen stenosierenden Colon-Tumor nach Kontrastmittelgabe. | |||
| CT-Kolonographie | Wird zum Tumorscreening eingesetzt. | Von 1011 Patienten des Screening-Programms der Universität Wisconsin mit negativem Ergebnis entwickelte innerhalb von 5 Jahren nur 1 ein Adenokarzinom im Stadium T3NoMo(2). | Es wurden 12 Adenome und 2 Karzinoide gefunden(2). | |
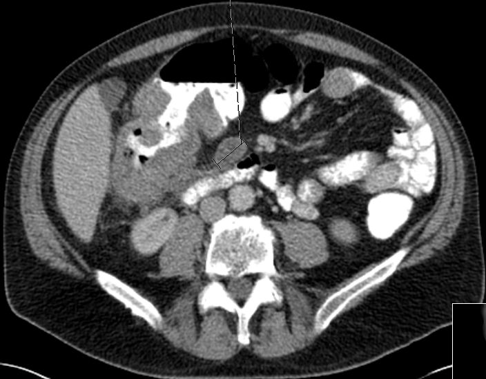
| Beispiele bildgebender Diagnostik von primären Colonkarzinomen | Zökum |
Colon ascendens |
Colon descendens | |
| Beispiele bildgebender Diagnostik von lokalen Metastasen | Lymphknotenmetastasen![]() |
mesenteriale Metastasierung |
peritoneale Metastasierung | |
| Beispiele bildgebender Diagnostik von Fernmetastasen | Knochenmetastasen![]() |
Lungenmetastasen![]() |
Nebenniere![]() | |
| Quellen |
1.) Do C, et al.: A new biomarker that predicts colonic neoplasia outcome in patients with hyperplastic colonic polyps. Cancer Prevention Research (2012) online first 2.) Kim DH, et al.: Five year colorectal cancer outcomes in a large negative CT colonography screening cohort. Eur Radiol 22(2012):1488-94. doi: 10.1007/s00330-011-2365-2 | |||
Teil von |
Colon - Karzinom | Gastro - Intestinale Tumore | ||
Impressum Zuletzt geändert am 02.02.2015 18:35