| zurück Home | Port | |||
| allgemeines | Implantiertes Infusionssystem. | |||
| Anlage | Wird mit einem kleinen Eingriff unterhalb des Schlüsselbeins eingesetzt. Der Schlauch wird in die Vena subclavia gelegt. | |||
| Systeme | Fresenius-Kabi: Ambix Intraport T: aus Titan. Ambix Intraport C aus Keramik. | |||
| Nadel | Die Injektion darf nur mit speziellen Nadeln erfolgen, die einen stanzfreien Anschliff haben, z.B. Huber-Nadel, Löffelschliff. | |||
| Problemlösung | Portspülung, Aspiration von Blut schwierig. Schmerzen bei Portpalpierung, Okklusions- oder Hochdruckalarm, Feuchtigkeit im Bereich der Einstichstelle. | |||
| Produkte | Surecan 90° 20GX20mm, 22GX30mm. | Abgewinkelte Hubernadel zum Anspülen. | ||
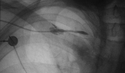
| Röntgen: normale Lage rechts | Kontrastdarstellung eines Ports.![]() |
80-jährige Frau, Radiochemotherapie eines Trachealkarzinoms. Portanlage wegen Ernährungsstörung.![]() |
||
| Röntgen: normale Lage links | Kontrastdarstellung eines Ports von links.![]() |
Kontrastdarstellung eines Ports von links, Schrägprojektion.![]() |
||
| Schlauchperforation | Patient hatte in der Nacht Schmerzen
supraclavikulär rechts.![]() |
Druckschmerz am Halsansatz rechts.![]() |
KM-Injektion: Extravasat. ![]() |
55-jähriger Mann mit progredientem
Bronchialkarzinom. Port vor 3 Jahren implantiert. Zunächst war der Port
funktionslos, jetzt ließ er sich problemlos "durchspülen".![]() |
Normale Auffüllung der Portkammer und der proximalen Anteile des Portkatheters bis zum Unterrand der rechten Klavikula.
Hier findet sich ein Austritt des Kontrastmittels in die paravasalen Gewebe mit Kontrastmittelstraße nach infraklavikulär rechts lateral und um den Katheter herum.![]() |
| Drehung | 79-jährige Frau mit Rektum-Karzinom zur postoperativen Radiochemotherapie.
Portpunktion "schwierig". Die KM-Injektion ergab ein Paravasat.
Die seitliche Durchleutung zeigte, dass der Port gedreht ist.
Die Membran befindet sich hinten an der Thoraxwand.![]() |
|||
| 3 Vorsprünge | Neuere Fabrikate haben ventral 3 Vorsprünge. Diese erleichtern dem Arzt das Auffinden der Injektionsstelle. Viele Patienten habe dadurch Beschwerden. Bei dieser Frau droht die Perforation. ![]() |
|||
| Venen | ||||
| Quellen |
1.) Hennes R, Hofmann HAF (Hrsg.): Ports. Springer 2016 | |||
Impressum Zuletzt geändert am 24.02.2017 16:08