zurück Home Halswirbelsäule
allgemeines 3D-Rekonstruktion der HWS von dorsal. Unterhalb des Schädels ist der Atlasbogen gut zu sehen. Unten grenzt sich der mächtige 1. ThW von den kleineren HW gut ab.
8 zervikale Hirnnerven stehen 7 Halswirbeln gegenüber. Das Rückenmark bleibt im Wachstum gegenüber der Wirbelsäule Zurück.
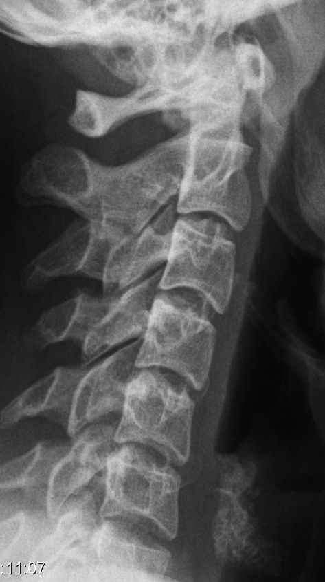
25-jährige Frau mit HWS-Distorsion. Steilstellung der HWS.
Dermatome C2,3 C2-8 ventral C2-8 ventral
Neurologie
Läsion
Zervikale Wurzeln
Kennmuskeln
Parese und Atrophie
Reflexe
Abschwächung
C3-C4 Diaphragma
C5 M. deltoideus
M. biceps brachii
Biceps-Reflex
C6 M. biceps brachii
M. brachioradialis
Biceps-ReflexBrachiorodialis-Reflex
C7 M. triceps brachii
M. pronator teres
M. abductor pollicis
M. opponens pollicis
Triceps-Reflex
C8 M. abductor digiti V
M. abductor pollicis
Triceps-Reflex
C0-C2 3 Gelenkssegmente
  • Atlanto - occipital
  • Atlanto - dental
  • Atlanto - axial
  • funktionelle Einheit
  • Rotation der HWS
  • Unfall: hohe Letalität
Klippel-Feil-Syndrom angeborene Fehlbildung der Halswirbelsäule Mehrere Halswirbel sind miteinander verschmolzen. Sichtbaren Verkürzung, starke Bewegungseinschränkung des Halses.
AAD Atlanto-Axial Displacement Instabilität, Subluxation, Dislokation Trauma, Entzündung, Genetik
Os odontoideum Fehlende Verwachsung der Densspitze mit dem Axis
Dens-Fraktur 15-20 % der HWS Verletzungen
besonders häufig bei älteren
Klassifikation von Anderson und d'Alonzo 1974:
  • Typ 1: Fraktur in der Dens -Spitze
  • Typ 2 Fraktur zwischen Dens -Basis und WK 2
  • Typ 3: Fraktur im Wirbelkörper 2
Ventralen Stabilisierung nach Böhler:
Für Typ 2, zum Teil Typ 3 geeignet
Doppelgewindeschraube nach Knöringer 1988
weniger Pseudoarthrosen als nach konservativer Behandlung
C2-Fraktur 84-jähriger hoch dementer Mann, der im Pflegeheim gestürzt ist. Längsfraktur der 2. HWK ohne Instabilität.
C2-Metastase Metastasiertes Prostatakarzinom. Metastase und pathologische Fraktur des Dens axis.
Schleudertrauma HWS-D, Halswirbelsäulendistorsion. Häufig durch PKW-Heckaufprall QTF-Score (Quebec Task Force): Schweregrad
Stabilisation HWS-Orthese Ortel C4 Vario, Cervi-moll, Cervi-med, Ortel Anatomic 62-jähriger Mann mit Plasmozytom. Wirbelkörperersatz C3.

Teil von

Wirbelsäule
Quelle 1.) König SA, Spetzger U:
Degenerative Erkrankungen der Halswirbelsäule.
Springer 2014

Impressum                           Zuletzt geändert am 01.07.2024 11:16