| zurück Home | Sprunggelenk | |||
| OSG | Das obere Sprunggelenk besteht aus dem Talus, der mit Malleolus medialis der Tibia und Malleolus lateralis der Fibula gabelförmig verbunden ist. | |||
| USG | Das untere Sprunggelenk (Articulatio talotarsalis) Besteht aus dem vorderen unteren Sprunggelenk (Articulatio talocalcaneonavicularis) und dem hinteren unteren Sprunggelenk (Articulatio talocalcanea bzw. subtalaris). | |||
| Knochen | Os cuboideum, Os naviculare, Talus, Calcaneus | |||
| Gelenke | 
  | |||
| Sprunggelenk | Sprunggelenk eines 78jährigen Mannes![]()  | 
  77-jährige Frau mit schmerzhaften Sprunggelenken. 
	Kann sich nur mit Rollator fortbewegen. Deutliche Arthrose im 
	Talo-Calcaneal-Gelenk.![]()  | ||
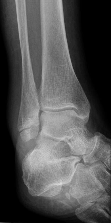
| Fraktur | Sprunggelenkfraktur![]()  | |||
69-jährige Frau mit Nierentransplantation. 
	Mit dem Fuß umgeknickt. Fraktur der distalen Fibula ( Sprunggelenkfraktur)![]()  | 
  In der gehaltenen Aufnahme ist der Bruchspalt besonders deutlich.![]()  | 
  Zusätzlich besteht ein schmerzhafter, plantarer Fersensporn.![]()  | ||
| Seitenband |  
  	50-jähriger	Sprengstoffbeseitiger, der im Gelende ungeknickt ist. 
  	Das Bild zeigt medial alte Absprengungen und Remodellierung nach älteren Innenbandausriss. | |||
| Knickfuß | 62-jähriger Patient mit M. Parkinson seit 6 Jahren. 
	Hauptsymptom: Schwäche und Tremor im linken Bein. Therapieresistente schmerzhafte Schwellung des Fußgelenks links. 
	Das MRT zeigt eine ausgeprägte Knickfußstellung (klinisch bestätigt) mit Unbauzonen an der distalen Fibula und Überstreckung des medialen Bandapparates.![]()  | |||
| Talo-Calcaneal-Gelenk | 75-jähriger Mann mit chronischen Fußschmerzen,	Gehbehinderung und Varusstellung des Fußes. 
  	Vor ca. 30 Jahren Absprung vom LKW: Fuß umgeknickt. Nie behandelt. Dann schwere Arthrose des Talo-Calcaneal-Gelenks. 
  	Vor 2 Jahren Verschraubung des Gelenks. Weiter Schmerzen und Gangstörungen. | |||
![]()  | 
  ![]()  | |||
| Hintegra | Eine Endoprothese des oberen Sprunggelenks ist mit der Hintegra-OSG-Prothese möglich. Diese besteht aus 3 Teilen: Tibia-, Talus-Komponente und Gleitkern aus Polyethylen. | |||
Teil von  | 
  Fuß | Bein | BeinBewegungsapparat | |
| Quelle | 1.) Szeimies U, et al.:  Bildgebende Diagnostik des Fußes. Thieme Verlag 2012 2.) Galla M, Walther M (Hrsg): Arthroskopie an Sprunggelenk und Fuß. Schattauer 2016  | |||
Impressum Zuletzt geändert am 25.07.2022 21:49