zurück Home Myome Fibroid
Bildquelle: Tod Gilliam, Public domain, via Wikimedia Commons
allgemeines Gutartige Tumoren aus glatter Muskulatur
Symptome
  • Schmerzen im Unterbauch
  • starke Regelblutungen
  • Verstopfungen
  • Problemen beim Wasserlassen
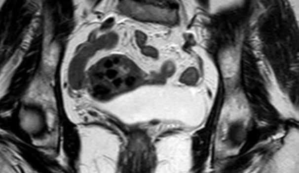
MRT T2W TSE. 61-jährige Frau mit Uterus myomatosus.
Prävalenz 80-90% aller Frauen haben Myome, 25% klinisch relevante Myome.
Lokalisationen intramural, submukös, subserös
Molekularbiologie 70% Mutation im MED12-Gen.
Östrogene Myome sind östrogenabhängig. In der Postmenopause hören sie auf zu wachsen.
Therapie Hysterektomie LASH UAE MRI-Guided Focused Ultrasound Treatment (1)

Teil von

Uterus Gynäkologie
Quellen 1.) LeBlang SD. et al.:
Leiomyoma Shrinkage After MRI-Guided Focused Ultrasound Treatment: Report of 80 Patients.
AJR 194(2010):274-280

2.) Boosz AS, Reimer P, Matzko M, Römer T, Müller A:
Konservative, operative und interventionelle Therapieoptionen uteriner Myome.
Dtsch Arztebl Int 111(2014): 877-83. DOI: 10.3238/arztebl.2014.0877

Impressum                             Zuletzt geändert am 20.01.2026 8:27