| zurück Home | spezielle Arterien | ||
| allgemeines | |||
| Aorta | nimmt das gesamte Blut des rechten Herzens auf und verteilt es im Körper. | Aortendissektion | Aortenaneurysma |
| A. carotis | ![]() Von Henry Vandyke Carter - Henry Gray 1918 Anatomy of the Human Body | ||
| A. radialis | Durch die Verkalkungen sind Arteria radialis und
Arteria ulnaris gut zu verfolgen.![]() | ||
| A. iliaca communis | 60-jähriger Mann mit Mundbodenkarzinom bei
Nikotinabusus. Jetzt Verschluss der rechten Arteria iliaca communis.
Überbrückung von links mit Crossover-Bypass.
![]() | ||
| A. femoralis AFS = A. f. superficialis |
DSA des linken Oberschenkels. Die Arteria femoralis
gibt zur Tiefe der Oberschenkelmuskulatur die Arteria profunda femoris
(grüner Pfeil) ab. ![]() |
Die Arteria circumflexa femoris lateralis (lila Pfeil) zieht unter dem M.
rectus femoris lateralwärts.![]() |
Die Arteria circumflexa femoris medialis (gelber Pfeil) zieht zwischen M.
iliopsoas und M. pectineus nach medial und hinten.![]() |
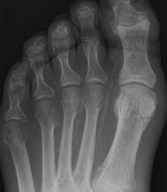
| Arteriae metatarsae dorsales | Entspringen aus der Arteria arcuata. Distal bilden
sie je 2 Arteriae digitales dorsales. Durch Verkalkung ist der Gefäßverlauf
ohne Kontrastmittel erkennbar.![]() | ||
Impressum Zuletzt geändert am 10.04.2022 7:47