ZNS-Tumore | ||||
Allgemeines |
Ependymom |
Medulloblastom | Neuroblastom |
|
Einteilung |
Neurofibrome |
Neuroendokrine T. |
Schädelbasis |
Meningeom |
Lymphom |
Metastasen | |||
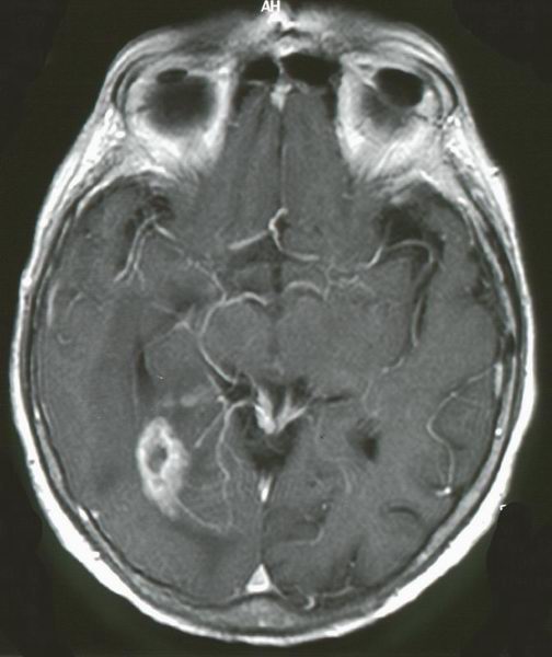
Epidemiologie | Gehirn und Nervensystem können eine Vielzahl unterschiedlicher Tumore bilden. Das MRT zeigt ein kleinzelliges Glioblastom rechts temporo - occipital. Die Randbezirke des Tumors nehmen intensiv Gadolinium auf. |
|||
Prognose | ||||
Einteilung | ||||
Klinik |
![]() | |||
Metastasierung | ||||
Staging | ||||
Diagnostik | ||||
Morphologie | ||||
Therapie | ||||
Operation | ||||
Radiatio | ||||
Chemotherapie | ||||
offene Protokolle | ||||
Ergebnisse | ||||
Rest | ||||
Impressum .....................................................................................Zuletzt geändert am 01.05.2009 14:27